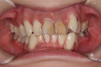
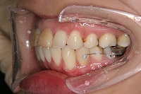
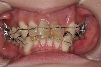
治療例 成人2
26歳1か月
26歳4か月
28歳6ヵ月
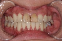
正面
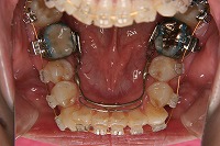
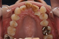
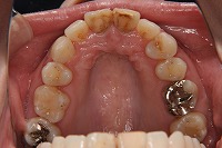
上顎
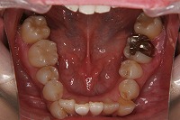
下顎
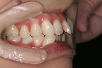
右
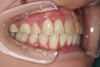
左
前歯が出ていて歯並びが悪い事を主訴に来院された、26歳1か月の女性です。診断「歯と歯槽基底の大きさの不調和による叢生」上顎は右側第1小臼歯と左側の犬歯、下顎は抜歯をせず治療を行いました。