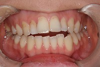
治療例 成人1
23歳2か月
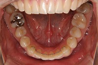
23歳5か月
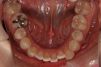
25歳6ヵ月
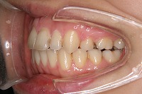
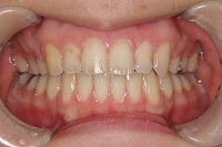
正面
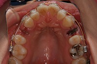
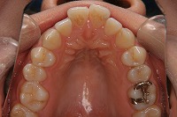
上顎
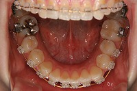
下顎
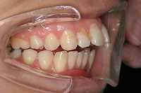
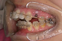
右
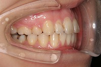
左
上の前歯が出ている事を主訴に来院された、23歳2か月の女性です。診断「下顎骨の後方回転による骨格性上顎前突で開咬を伴う」上顎は両側第1小臼歯、下顎は抜歯をせず治療を行いました。