10歳6ヵ月 | 10歳10か月 | 13歳10か月 | 15歳6ヵ月 | ||
---|---|---|---|---|---|
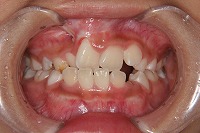
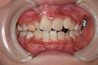
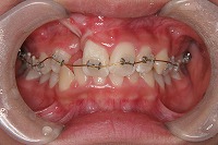
正面 | ![]() |
![]() |
![]() |
![]() |
|
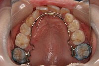
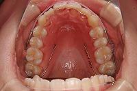
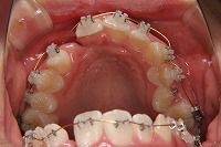
上顎 | ![]() |
![]() |
![]() |
![]() |
|
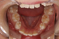
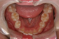
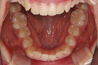
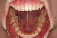
下顎 | ![]() |
![]() |
![]() |
![]() |
|
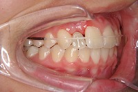
右 | ![]() |
![]() |
![]() |
![]() |
|
左 | ![]() |
![]() |
![]() |
![]() |
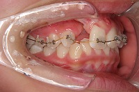
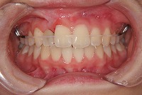
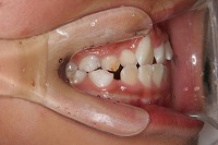
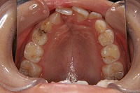
反対咬合を主訴に来院された、右側唇顎裂の10歳6ヵ月の女の子です。診断「右側唇顎口蓋裂で反対咬合を伴う」1期治療で反対咬合の解消と上顎の前歯の並びを修正しました。2期治療は抜歯をせず治療を行いました。