10歳4か月 | 10歳10か月 | 11歳1か月 | 11歳3ヵ月 | 11歳4か月 | 11歳7か月 | 11歳8か月 | |
---|---|---|---|---|---|---|---|
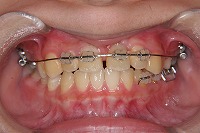
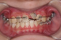
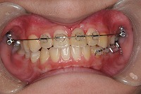
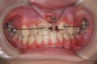
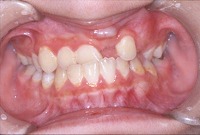
正面 | ![]() |
![]() |
![]() |
![]() |
![]() |
![]() |
![]() |
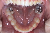
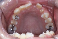
上顎 | ![]() |
![]() |
|||||
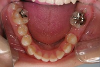
下顎 | ![]() |
![]() |
|||||
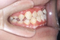
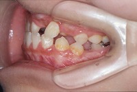
右 | ![]() |
![]() |
|||||
左 | ![]() |
![]() |
反対咬合と前歯が生えてこない事を主訴に来院された、10歳4か月の男の子です。診断「下顎骨の過成長による骨格性反対咬合で上顎正中の左方偏位と埋伏歯を伴う」1期治療で反対咬合の解消と埋まっていた前歯を牽引しました。