治療例 外科矯正治療
18歳1か月
18歳7か月
21歳7か月
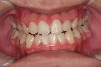
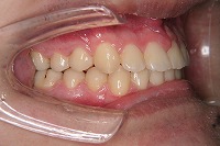
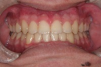
正面
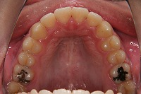
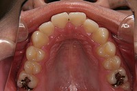
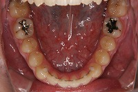
上顎
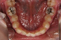
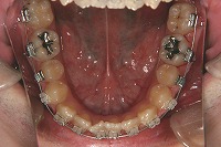
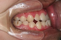
下顎
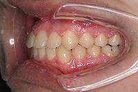
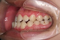
右
左
反対咬合と下顎が出ている事を主訴に来院された、初診時18歳1か月の男性です。診断「上顎骨の後方位による骨格性反対咬合」非抜歯での矯正治療と、下顎を後退させる外科手術を併用して治療を行いました。