| 9歳2か月 | 10歳2か月 | 12歳5か月 | 15歳1か月 | 17歳1か月 | |
|---|---|---|---|---|---|
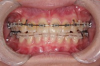
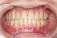
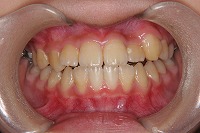
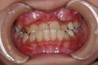
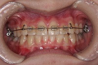
| 正面 | ![]() |
![]() |
![]() |
![]() |
![]() |
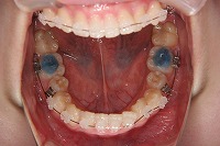
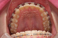
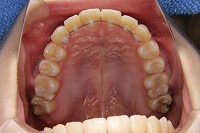
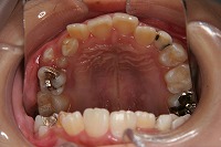
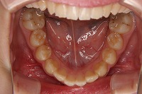
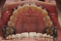
| 上顎 | ![]() |
![]() |
![]() |
![]() |
![]() |
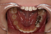
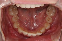
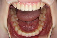
| 下顎 | ![]() |
![]() |
![]() |
![]() |
![]() |
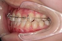
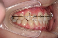
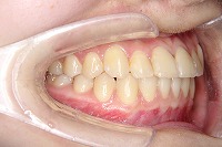
| 右 | ![]() |
![]() |
![]() |
![]() |
![]() |
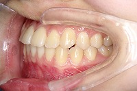
| 左 | ![]() |
![]() |
![]() |
![]() |
![]() |
反対咬合を主訴に来院された、初診時9歳2か月の女の子です。診断「上顎骨の後方位による骨格性下顎前突」1期治療で反対咬合の解消と上顎の前方牽引を行いました。2期治療は抜歯をせず治療を行いました。